中国科学院昆明植物研究所
location
当前位置:首页 > 新闻动态 > 科研进展
left
新闻动态
科研进展

灯台叶碱呼吸道药理研究取得系统进展

文章来源:植物化学与西部植物资源持续利用国家重点实验室  |  发布时间:2018-06-19  |  作者:罗晓东  |  浏览次数:  |  【打印】 【关闭

 

  灯台叶是傣族民间及东南亚国家著名药材,最早记载于《贝叶经》,具有清热、化痰、止咳功效,用于呼吸道疾病的治疗。呼吸道疾病常见多发,诱导因素及症状复杂多样,单一靶点药物难以全面控制疾病症状。罗晓东研究团队近10余年来致力于灯台树资源、化学、药理药效及新药临床的研究。 

  基于灯台叶的传统药用,尚建华等发现灯台叶碱能够明显减少多种模型动物的咳嗽次数、延长咳嗽潜伏期,其作用以外周镇咳为主;能明显增加试验动物气管酚红的排泌量及排痰量;明显延长磷酸组胺和氯化乙酰胆碱致豚鼠哮喘的时间,明显对抗氯化钾、乙酰胆碱、组织胺诱发的离体豚鼠气管收缩。(Journal of Ethnopharmacology, 2010, 129, 293)。灯台叶碱对二甲苯致小鼠耳廓肿胀、蛋清致大鼠关节肿胀和大鼠棉球肉芽肿等炎症模型有明显抑制作用;对醋酸致小鼠扭体反应有明显抑制作用。初步机制提示其镇痛、止咳作用与中枢无关,与抑制外周炎性介质的释放有关,与抑制NO生成和COX的活性及对抗自由基损伤有关(Journal of Ethnopharmacology, 2010, 129, 174)。进一步与南开大学白钢教授等合作研究发现:灯台叶碱平喘作用可能与抑制平滑肌细胞的外钙内流、内钙释放及蛋白激酶C(PKC)信号传导系统有关,通过激动β2肾上腺素能受体达到平喘效果(Journal of Chromatography A, 2012, 1227, 203)。此外,发现灯台叶碱具有多靶点药理作用,包括选择性抑制COX-2/5-LOX双靶点,抑制NF-kB并激动β2AR等(Journal of Chromatography B, 2012, 908, 98)。 

  赵云丽等观察灯台叶碱对大鼠气道炎症的影响,发现其能显著减少IL-8TNF-a的产生,提高SOD的活性和NO的水平,有效阻止中性粒细胞向气道内的集聚,抑制肺泡巨噬细胞的过度活化、减少炎性细胞的浸润,从而减轻气道炎症Journal of Ethnopharmacology, 2016, 178, 258)。赵云丽等发现灯台叶碱能通过降低肺泡中嗜酸性粒细胞数量及血清中IgEEotaxin水平,阻断固有免疫应答的Th2细胞关键因子,减轻哮喘小鼠的气道炎症和气道重塑(Phytomedicine, 2017, 27, 63)。与北京大学叶敏教授等合作研究发现:口服灯台叶碱时间-血药曲线符合二室模型,且暴露量成剂量依赖;血清尿液及粪便中检测到多个原型和代谢产物,其中单羟基化后的脱氢水解及进一步的葡萄糖醛酸化反应为其主要体内代谢途径(Journal of Chromatography B, 2016,1026, 43 

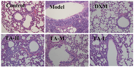
  感染后咳嗽发病机制复杂,孟鲁斯特治疗感染后咳嗽无效,其临床治疗需求难以满足。最近,赵云丽等采用脂多糖联合烟熏诱导小鼠感染后咳嗽模型,病理组织学观察发现灯台叶碱能明显减轻模型动物的支气管周围炎症及炎性细胞浸润,减轻支气管黏膜的充血和水肿,降低气道粘液高分泌,抑制肺组织血管新生;进一步对肺泡灌洗液中炎症细胞总数进行计数,发现灯台叶碱能明显减少炎性细胞总数,尤其是中性粒细胞向气道内募集,其作用与阳性对照甾体激素地塞米松相当。另外,检测感染后咳嗽疾病的生物标志物,发现灯台叶碱能显著降低肺组织中IL-6 (22.7±0.6 & 26.5±1.1 pg/mL)和血清中C-反应蛋白(22.9±0.4 & 24.8±0.5 pg/mL)水平;通过对氧化应激指标的检测发现,灯台叶碱是通过上调SOD的活力,抑制过氧化脂质产物的生成。推测灯台叶碱能通过抑制气道黏膜变应性炎症的中性粒细胞的分化和增殖,减少其向炎症区的趋化、聚集和浸润,从而减轻了炎症介质对气道上皮和肺组织的损伤以及气道高反应的形成,达到治疗感染后咳嗽的目的,研究近期结果发表于Journal of Ethnopharmacology 2018, 218, 69. 

  灯台叶碱呼吸道药理药效的系列研究结果为其临床适应症及剂量确定提供了进一步的支撑,同时也进行了全面的知识产权保护(ZL200610010941.9, ZL200610010940.4, ZL200610048656.6, WO2017/080485A1)。研究工作得到重大新药创制专项(2013ZX091021132014ZX09301307-003等项目支持。 

  文章链接 

 

 

(责任编辑:李雪)


中国科学院昆明植物研究所

版权所有 Copyright © 2002-2025 中国科学院昆明植物研究所,All Rights Reserved 【滇ICP备05000394号
地址:中国云南省昆明市蓝黑路132号  邮政编码:650201    点击这里联系我们